USG dróg żółciowych stanowi jedno z podstawowych badań obrazowych stosowanych w diagnostyce chorób przewodów żółciowych i pęcherzyka. Dzięki nieinwazyjnej metodzie można szybko ocenić anatomię, wykryć ewentualne zmiany patologiczne oraz ocenić stan funkcjonalny układu żółciowego. Powtarzalność badania i brak promieniowania jonizującego czynią je cennym narzędziem w codziennej praktyce klinicznej.

Anatomia i przygotowanie pacjenta

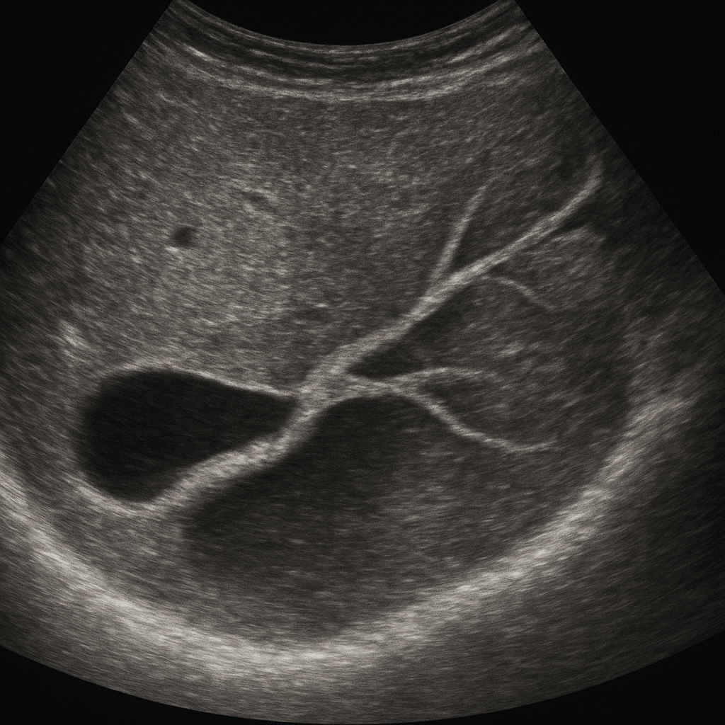
Podstawą skutecznego badania USG jest znajomość anatomi dróg żółciowych i prawidłowe przygotowanie pacjenta. Przewody żółciowe można podzielić na wewnątrzwątrobowe i zewnątrzwątrobowe. Wewnątrzwątrobowe odprowadzają żółć w głąb wątroby, łącząc się ostatecznie w przewód wątrobowy prawy i lewy, które tworzą przewód wątrobowy wspólny. Następnie łączy się on z przewodem pęcherzykowym, tworząc przewód żółciowy wspólny.

Fizjologia żółci

Żółć produkowana w komórkach wątroby pełni kluczową rolę w trawieniu tłuszczów oraz wydalaniu metabolitów. Magazynowana w pęcherzyku żółciowym jest uwalniana w odpowiedzi na spożycie tłustych pokarmów, co stymulują hormony jelitowe. W oparciu o tę wiedzę pacjent do badania USG powinien być na czczo, co zmniejsza ilość gazów w przewodach pokarmowych i poprawia widoczność struktur.

  • Bez spożywania pokarmów co najmniej 6–8 godzin przed badaniem
  • Odstawienie gazotwórczych napojów i produktów mlecznych
  • Jeżeli pacjent jest na lekach, postępowanie według zaleceń lekarza

Technika badania i ocena parametrów

Badanie ultradźwiękowe układu żółciowego wykonywane jest za pomocą głowicy o częstotliwości zazwyczaj 3,5–5 MHz. Pacjent leży płasko lub w pozycji na boku, a lekarz aplikuje na skórę specjalny żel, poprawiający przewodzenie fal ultradźwiękowych. Ważne jest dokładne odwzorowanie przewodu żółciowego wspólnego oraz pęcherzyka żółciowego w układzie podłukowym i międzyżebrowym.

Podczas badania ocenia się:

  • Średnicę przewodów wewnątrz- i zewnątrzwątrobowych (norma do 4 mm)
  • Grubość ściany pęcherzyka żółciowego (norma do 3 mm)
  • Obecność złogów czy kamieni w świetle pęcherzyka i przewodów
  • Przepływ żylny i tętniczy w obszarze trójkąta wątrobowo-trzustkowego
  • Ocena ewentualnych mas, torbieli i zgrubień ściany

W praktyce coraz częściej wykorzystuje się tryb Dopplera do oceny przepływu krwi w naczyniach wątrobowych oraz monitorowania ewentualnych cech niedrożności. Dynamiczna ocena zmian pozwala na rozróżnienie kamicy żółciowej od ewentualnych guzów.

Najczęstsze patologie i ich obraz ultrasonograficzny

Ultrasonografia potrafi uwidocznić szereg schorzeń układu żółciowego:

  • Kamica żółciowa – największa liczba występowania, objawia się hiperechogenicznymi ogniskami z cieniem akustycznym.
  • Cholestaza wewnątrzwątrobowa – poszerzenie przewodów wewnątrzwątrobowych, obraz „drzewka porowatego”.
  • Cholangiocarcinoma – zwężenie przewodu, nieregularne pogrubienia ściany, niski sygnał w obszarze zmiany.
  • Zakażenia (cholangitis) – pogrubiała, obrzęknięta ściana, możliwe zbiorniki płynu wokół przewodów.
  • Kamicze zapalenie pęcherzyka – widoczne złogi w pęcherzyku, pogrubienie ściany powyżej 4 mm, obecność płynu obok pęcherzyka.

W badaniach kontrolnych ważne jest odróżnienie złogów cholesterolowych od piasku żółciowego, przy czym tylko pierwszy daje wyraźny cień akustyczny na obrazach USG. W przypadkach wątpliwych warto zastosować dodatkowe metody, takie jak wewnątrzwydzielnicza cholangiopankreatografia rezonansu magnetycznego (MRCP).

Zalety i ograniczenia USG dróg żółciowych

Ultrasonografia to metoda o wielu atutach:

  • Brak promieniowania jonizującego – bezpieczna dla kobiet w ciąży i pacjentów pediatrycznych
  • Szybkość wykonania – zazwyczaj trwa 10–15 minut
  • Możliwość powtarzalności – bez ograniczenia liczby badań
  • Relatywnie niski koszt w porównaniu z tomografią komputerową czy rezonansem magnetycznym

Jednak USG ma też swoje ograniczenia:

  • Ograniczona penetracja fal przez tkanki o dużej impedancji, np. tkankę tłuszczową
  • Zakłócenia przez gazy jelitowe
  • Mniejsza czułość w ocenie przewodów wątrobowych w porównaniu z MRCP
  • Wymaga doświadczenia operatora i umiejętności analizy obrazów

Mimo tych ograniczeń, odpowiednio wykonane USG dróg żółciowych stanowi pierwszą linię postępowania diagnostycznego. W połączeniu z badaniami laboratoryjnymi i ewentualnymi badaniami uzupełniającymi, takimi jak TOMOGRAFIA komputerowa, rezonans magnetyczny czy endoskopowa cholangiopankreatografia (ERCP), staje się nieocenionym narzędziem w ustaleniu właściwej diagnozy i dalszego postępowania terapeutycznego.